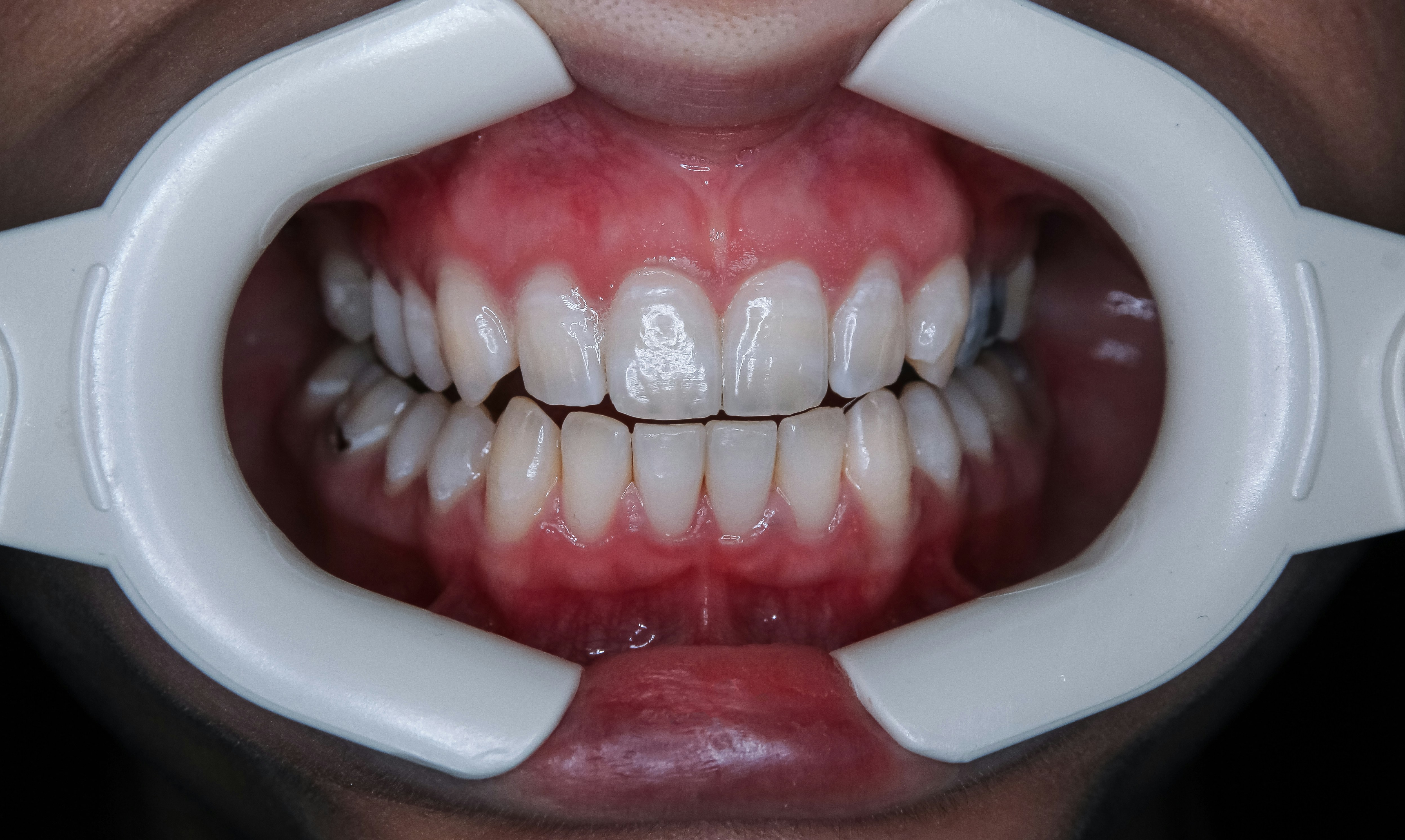
Îngrijirea gingiilor este esențială pentru un zâmbet sănătos. Echipa noastră de specialiști în parodontologie te ajută să previi problemele gingivale și să te bucuri de un zâmbet frumos și puternic, fără disconfort.
Parodontologia este ramura stomatologiei care se ocupă cu prevenirea, diagnosticarea și tratarea afecțiunilor gingiilor și a țesuturilor de susținere a dinților. Prin tratamente specializate, ne asigurăm că zâmbetul tău rămâne sănătos și funcțional pe termen lung.
Tratamente specializate pentru prevenirea inflamațiilor și menținerea sănătății gingiilor.
Fiecare pacient beneficiază de un plan adaptat stadiului bolii parodontale și nevoilor individuale.
Intervențiile corecte reduc riscul pierderii dinților și mențin funcționalitatea întregului zâmbet.
Tratamentele parodontale nu doar că protejează sănătatea, dar și aspectul natural al zâmbetului tău.
Protejează-ți zâmbetul cu tratamente de parodontologie eficiente și moderne.
Gestionarea inflamației gingivale și prevenirea progresiei către forme mai grave de boală parodontală. Acest tratament include evaluarea atentă a sănătății gingiilor, igienizarea profesională și recomandări personalizate pentru igiena orală la domiciliu, asigurând prevenția complicațiilor pe termen lung.
Curățare profundă a suprafeței dinților și a rădăcinii pentru îndepărtarea plăcii bacteriene și a tartrului. Procedura ajută la reducerea inflamației, previne pierderea osoasă și contribuie la menținerea sănătății gingiilor și a danturii pe termen lung, oferind pacientului un zâmbet curat și sănătos.
Terapii non-chirurgicale și chirurgicale pentru tratarea bolii parodontale în diverse stadii. Aceasta include monitorizarea atentă a progresiei bolii, tratamente personalizate și intervenții moderne pentru regenerarea țesuturilor afectate, asigurând controlul infecției și păstrarea sănătății generale a cavității orale.
Află ce factori pot afecta sănătatea gingiilor și cum să recunoști semnele care necesită atenție.
Una dintre principalele cauze ale bolii parodontale, afectând circulația la nivelul gingiilor.
Periajul necorespunzător duce la acumularea de placă bacteriană și tartru.
Excesul de zaharuri și lipsa vitaminelor slăbesc țesuturile gingivale.
Modificările hormonale pot crește sensibilitatea și inflamația gingiilor.
Predispoziția genetică poate crește riscul apariției bolii parodontale.
Afecțiuni precum diabetul pot favoriza dezvoltarea inflamației gingivale.
Apar frecvent în timpul periajului sau masticației.
Gingiile devin roșii, inflamate și dureroase la atingere.
Semn comun al infecțiilor bacteriene parodontale.
Gingiile se retrag, expunând rădăcina dintelui.
Dinții încep să se miște din cauza pierderii suportului osos.
Durere sau senzație de presiune în timpul masticației.
Descoperă promoțiile noastre exclusive și bucură-te de îngrijire dentară completă, cu beneficii speciale doar în această lună.
Curățare completă și profesională pentru dinți sănătoși și respirație proaspătă.
Înlocuire sigură și durabilă a dinților lipsă pentru un zâmbet complet și funcțional.
Vezi ce spun pacienții noștri despre experiența lor la clinică și cum i-am ajutat să aibă zâmbete sănătoase și frumoase.
Pentru a te ajuta să te simți informat și în siguranță, am adunat răspunsurile la cele mai frecvente întrebări.
În general, se recomandă să programați un control stomatologic la fiecare șase luni. Vizitele regulate permit dentistului să detecteze semne timpurii ale cariilor, bolilor gingivale sau altor probleme înainte ca acestea să devină grave. Totuși, în funcție de starea sănătății tale orale, dentistul poate sugera vizite mai frecvente pentru a asigura o îngrijire și prevenție corespunzătoare.
Da, chiar și cu o igienă orală excelentă acasă, detartrările profesionale sunt esențiale. Igieniștii dentari elimină tartrul și placa dentară pe care periajul și ața dentară nu le pot îndepărta complet. Aceste detartrări ajută și la prevenirea bolilor gingivale, mențin respirația proaspătă și oferă dentistului ocazia de a examina cavitatea bucală pentru orice semne timpurii de probleme.
Dacă ai dureri severe, un dinte rupt, sângerări sau umflături, contactează imediat dentistul. Majoritatea clinicilor oferă programări de urgență pentru cazurile urgente. Până când poți vedea un dentist, clătește-ți gura cu apă caldă, aplică comprese reci dacă există umflături și evită să aplici aspirină direct pe zona afectată, deoarece poate irita gingiile.
Da, tratamentele profesionale de albire sunt sigure atunci când sunt efectuate de un dentist autorizat. Acesta utilizează materiale aprobate care protejează gingiile și smalțul dinților, în timp ce îndepărtează eficient petele. Produsele disponibile fără prescripție pot fi dure sau inegale, așa că este recomandat să consulți dentistul pentru un plan personalizat și sigur de albire, adaptat nivelului de sensibilitate al dinților tăi.
Anxietatea dentară este foarte frecventă, iar confortul tău este prioritatea noastră. Recomandăm să discuți deschis cu dentistul despre temerile tale înainte de programare. Multe clinici oferă tehnici de relaxare, opțiuni de sedare ușoară și un mediu grijuliu pentru a te ajuta să te simți confortabil. Amintește-ți că stomatologia modernă se concentrează pe îngrijire fără durere, centrată pe pacient — experiența ta ar trebui să fie pozitivă și lipsită de stres.

La MontBlanc Clinic, ne dedicăm să ajutăm fiecare pacient să aibă un zâmbet sănătos și încrezător.